Book Free Session on WhatsApp or Call   +91  77000  04970

Transformation

#phismile transformation

Displaying work of our smile architect
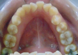
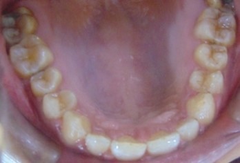
Before
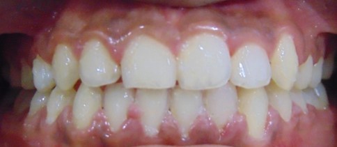
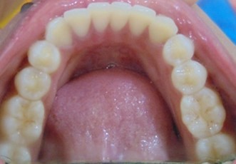
After
Image 1
Image 1
Image 2
Image 2
Image 3
Image 3
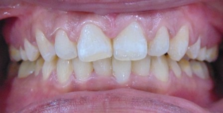
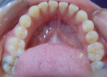
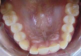
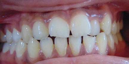
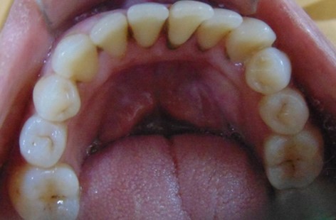
Shradha K, 42Y, Duration - 18Months
Before
After
Image 1
Image 1
Image 2
Image 2
Image 3
Image 3
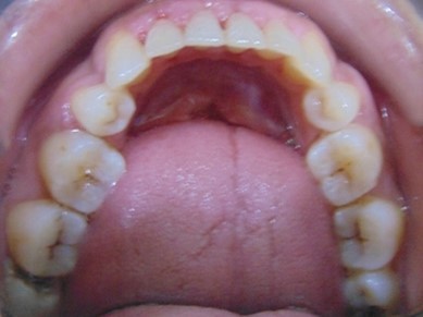
Arati, 35Y, Duration - 18Months
Before
After
Image 1
Image 1
Image 2
Image 2
Image 3
Image 3
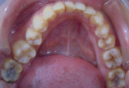
Ankita Kadam, 23Y, Duration - 8Months
Before
After
Image 1
Image 1
Image 2
Image 2
Image 3
Image 3
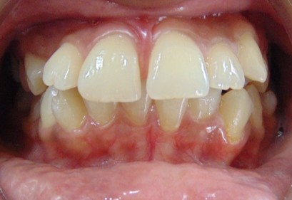
Aditi S, 24Y, Duration - 10Months